Tabac et santé bucco-dentaire
Articles similaires
L'hygiène en orthodontie
Vidéos 3D
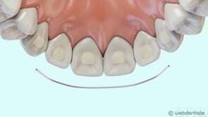
Contention de Hawley
Vidéos 3D
Appareil multi-attache lingual
Vidéos 3D
- À la une (3)
- Coûts et prise en charge (1)
- Incidents et urgences orthodontiques (1)
- Informations générales dentaires (39)
- L'orthodontie de l'adulte (7)
- La réussite d'un traitement (9)
- Les enfants & les adolescents (18)
- Orthodontie (92)
- Qu'est-ce que l'orthodontie ? (19)
- Questions fréquentes en orthodontie (6)